Researchers sound the alarm on harmful nanoparticles in everyday foods
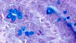
Cornell and Binghamton Universities’ experts have warned that nanoparticles found in common food colourings and anti-caking chemicals can be harmful to your digestive system, causing health issues in your intestines. The findings were published in the journal Antioxidants. According to the senior author Elad Tako, associate professor of food science at Cornell, “We are consuming … Continue reading Researchers sound the alarm on harmful nanoparticles in everyday foods
Copy and paste this URL into your WordPress site to embed
Copy and paste this code into your site to embed